
Cálculos de vesícula
4 min read
A presença de cálculos na vesícula biliar, também conhecida como colelitíase, é uma condição extremamente comum, especialmente em países ocidentais. Embora muitos casos sejam silenciosos e passem despercebidos, essa condição pode, em diversos momentos, desencadear sintomas incômodos ou até complicações graves. Neste texto, você encontrará informações claras e confiáveis sobre as causas, riscos, sintomas e formas de tratamento, especialmente o tratamento cirúrgico por videolaparoscopia.
O que são cálculos na vesícula biliar?
Cálculos biliares são pequenas “pedras” que se formam dentro da vesícula biliar — um órgão localizado abaixo do fígado e responsável por armazenar a bile, um líquido que ajuda na digestão das gorduras. Essas pedras podem ter composição variada, sendo a maioria formada por colesterol. Em alguns casos, estão associadas a infecções ou alterações metabólicas.


Quem tem mais chance de desenvolver cálculos na vesícula?
Alguns fatores aumentam significativamente o risco de desenvolver cálculos biliares. Entre os principais, estão:
Sexo feminino
Idade acima dos 40 anos
Obesidade ou sobrepeso
Gravidez
Diabetes
Uso de hormônios (como anticoncepcionais ou reposição hormonal)
Histórico familiar de cálculos
Dieta rica em gordura e pobre em fibras
Quando os cálculos causam sintomas?
A maior parte das pessoas com cálculos na vesícula nunca apresenta sintomas. No entanto, quando os sintomas surgem, o mais comum é a cólica biliar — uma dor intensa e constante, geralmente no lado superior direito do abdômen, podendo irradiar para as costas ou ombro direito. Essa dor costuma ocorrer após refeições mais gordurosas e pode durar de 30 minutos a várias horas.
Outros sintomas incluem náuseas, vômitos, sensação de inchaço e má digestão. Quando os cálculos causam inflamações ou obstruções, o quadro pode evoluir para complicações como:
Colecistite aguda (inflamação da vesícula)
Pancreatite (inflamação do pâncreas)
Colangite (infecção das vias biliares)


Como é feito o diagnóstico?
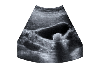
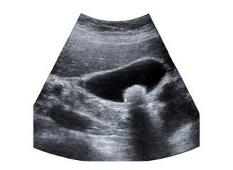
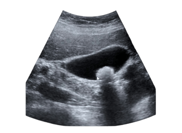
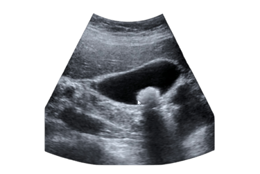
O diagnóstico costuma ser realizado por meio de ultrassonografia abdominal, um exame simples, indolor e altamente eficaz para detectar cálculos na vesícula. Em casos mais complexos, exames como tomografia ou ressonância magnética podem ser necessários.


Qual o tratamento ideal?
Quando os cálculos causam sintomas, a recomendação é realizar a cirurgia de retirada da vesícula biliar, chamada colecistectomia. Atualmente, a técnica mais utilizada é a videolaparoscopia, um método minimamente invasivo, com pequenas incisões na parede abdominal e recuperação mais rápida.
Como é a cirurgia por videolaparoscopia?
Durante o procedimento, o cirurgião introduz uma pequena câmera e instrumentos delicados através de 4 incisões milimétricas no abdômen. A imagem da câmera é transmitida para um monitor, permitindo a remoção precisa da vesícula.
Vantagens da cirurgia por videolaparoscopia:
Menor dor no pós-operatório
Alta hospitalar mais rápida
Retorno mais precoce às atividades cotidianas
Menor risco de infecção
Melhor resultado estético


Por que não é ideal esperar uma urgência para operar?
É comum o pensamento de evitar a cirurgia uma vez que a crise de dor já passou. Entretanto, quando os sintomas já surgiram uma vez, as chances de novos episódios — e de complicações — aumentam. Estudos apontam que cerca de 70% dos pacientes que tiveram uma crise de cólica biliar voltarão a ter novos episódios dentro de dois anos.
Além disso, a recorrência dos sintomas pode não ser apenas dor abdominal, mas apresentar-se com complicações como colecistite aguda, pancreatite ou infecção das vias biliares, que podem ser graves, exigindo internação de urgência e, muitas vezes, prolongada. Nesses casos, a cirurgia costuma ser tecnicamente mais difícil e com maior chance de complicações. Por isso, a indicação cirúrgica em tempo oportuno é sempre mais segura.


Existe tratamento sem cirurgia?
Existem, sim, abordagens não cirúrgicas, como medicamentos para dissolver cálculos de colesterol. Porém, são pouco eficazes, indicados apenas para casos muito específicos, como em pacientes que não podem ser submetidos à cirurgia. Esses tratamentos têm altas taxas de recidiva e não previnem complicações e, por isso, não são rotineiramente recomendados.
E se a pessoa não tiver sintomas?
Para quem tem cálculos e nunca teve sintomas, a conduta costuma ser expectante, ou seja, apenas acompanhar com exames periódicos. É ideal explicar aos pacientes acerca dos sintomas que os cálculos podem ocasionar, para que procurem atendimento médico quando necessário. A cirurgia só é recomendada preventivamente em situações específicas, como em pacientes com vesícula em porcelana, pólipos maiores que 1 cm, além de poder ser considerada também em cálculos muito grandes (acima de 2cm).
Mensagem Final
Cálculos na vesícula são comuns e, na maioria dos casos, podem ser tratados com segurança e eficácia. Quando a cirurgia é indicada, o procedimento videolaparoscópico é o padrão ouro, com ótimos resultados. Mais importante ainda: não espere a dor virar urgência. O tratamento eletivo é mais seguro, menos traumático e com melhor recuperação.
A relação anatômica entre vesícula, via biliar e pâncreas. Um cálculo de vesícula pode migrar por entre essas estruturas, provocando as complicações da doença
A vesícula biliar pode acumular cálculos, na sua maioria formados por colesterol
A cólica biliar é o sintoma mais comum na colelitíase, apresentando-se como uma dor no lado direito do abdome
O Ultrassom de abdome é o exame mais realizado para diagnósticar cálculos na vesícula biliar
A laparoscopia é o tratamento ideal, realizando a cirurgia de forma minimamente invasiva


